中文av

典型医案

您现在的位置: 中文av 陶凯教授 典型医案 详细

中西医结合治疗重症肺炎病例(好大夫网提供)

2016.02.08
来源部门: 作者: 系统


 

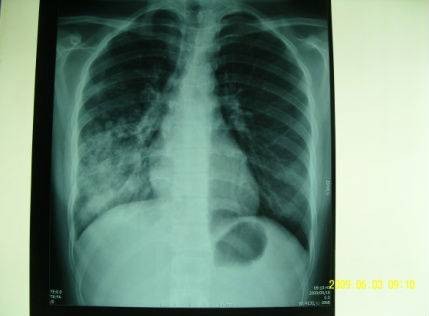
提问:高烧不退伴咳嗽10余天。病情描述(主要症状、发病时间):高烧39度伴咳嗽,无痰,57日,突然高热,无其他阵发性咳嗽,咳嗽时腰痛厉害。阿莫仙、阿奇,现用美平静滴,体温不降。中药吃了2付。血沉110 CRP112,其他均在正常之内,CT:右下肺炎症。

518日:柴胡15    葛根24    苏叶12   黄芩12

             生石膏30 金银花30 连翘15   藿香15

             板蓝根30 枳壳12    元参24    清半夏12

             白芍15    山药24    羌活12    芦根30

             薄荷12    甘草6

        取2剂,加生姜三片,大枣五枚,水煎两次,每次开锅后20分钟,(小火盖锅盖)倒一起,分4-5次服。            (陶凯大夫于香港)

2009-05-20 19:33:47陶教授:今天我给孩子滴注的甲强龙120mg、丹红30ml、、心酰胺90mg,咳嗽不那麽频繁了,体温37左右。昨天下午精神比以前好,想吃东西但吃不多。

2009-05-22 22:29:38陶大夫:谢谢您!孩子高烧期间我把所有的中文av 都看了,但都不对症,以至于抗生素用到最高层也无济于事,您的一剂中药一下解决问题,我是万分感谢,

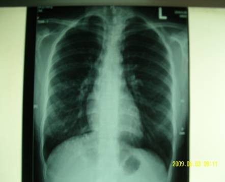
2009-05-26我女儿的病现在基本好了,我给他拍了胸片,有点支气管炎,原先的阴影基本消失,孩子已上学,十万分的感谢陶教授的救命之恩!

治疗前

 治疗后

 

按:急性重症肺炎中期、极期的肺部影像学特点绝大部分患者出现弥漫性肺部炎症异常表现。病变形态分为斑片状影,大片状影,斑片融合影像。病变密度为肺实变密度及磨玻璃密度影,肺纹理增粗模糊,肺实变的影像和临床表现相关联,持续高热时,肺部影像最为严重和广泛。此时西医治疗要点:要及时适量、足量使用糖皮质激素。中医辨证:疫毒犯肺,邪在气分。治则:清瘟泻热解毒,宣肺平喘。中西医结合治疗,短期内炎症吸收迅速,病情好转,没有遗留,邪去正安。

 

扫一扫,手机端浏览

患者服务
出诊信息
快速到达